Das Warten hat ein Ende: Der positive Schwangerschafts-Test
Nach zwei Zyklen, bei denen wir ,,leer‘‘ ausgingen wurde die Spannung natürlich von Mal zu Mal größer ob es denn ,,endlich‘‘ geklappt hat.
(Das ,,endlich‘‘ setze ich in Anführungszeichen. Es ist mir bewusst, dass 3 Zyklen wirklich sehr schnell sind und wir uns wirklich glücklich schätzen können, dass es so schnell geklappt hat. Dennoch kamen mir persönlich die 3 Zyklen vor wie eine halbe Ewigkeit…)
Alle möglichen Gedanken schwirren einem durch den Kopf:
,,Kann ich überhaupt schwanger werden?‘‘
,,Was ist wenn wir keine Kinder kriegen können?‘‘
,,Stimmt bei uns alles?‘‘
…. schließlich wurde das beim ersten Kinderwunsch ja noch nie getestet. Nachdem in allen 3 Zyklen alle Ovulationstests negativ ausgefallen sind und das obwohl ich ziemlich sicher wusste (weil ich es spürte) wann mein Eisprung war, wurden diese Gedanken nur noch verstärkt.
(Besser anfangs die Finger weg lassen von Ovulationstests – aber dazu schreibe ich noch einen separaten Blogpost!)
Man macht sich von Zyklus zu Zyklus auch unbewusst immer mehr Druck. Ich will mir gar nicht vorstellen wie das nach einem Jahr oder länger des ,,Probierens‘‘ für mich gewesen wäre. Man sagt immer man soll sich keine Gedanken machen und alles gemütlich angehen – sich keine Termine setzen, es einfach drauf ankommen lassen …. Ist ja schön und gut, aber leider viel einfacher gesagt als getan, wenn man sich doch so sehr Nachwuchs wünscht.
Nochmals hier mein persönlicher Tipp: bitte lasst vor allem am Anfang die Ovalutionstests weg, denn meine vielzähligen negativen Ovalutionstests wurden zum positiven Schwangerschaftstest und haben mich persönlich total verunsichert!
So nun war es also so weit, die Periode blieb 2 Tage aus, das war an einem Donnerstag. Nun war das aber kein Indiz, weil dies war in den Zyklen vorher auch so und am 3. oder 4. Tag kam die Periode dann doch noch.
Soll man also trotzdem bereits einen Test machen und eine eventuell unnötige Enttäuschung kassieren weil es evtl. doch noch zu früh ist? Was aber wenn er doch gleich positiv ist, dann kann man sich früher freuen!?So, ich habe dann durchgehalten – bis Samstag Morgen.
Ich bin am besagten Samstag Morgen um 4.30 Uhr morgens aufgewacht und hatte nur noch den Test im Kopf. Ich versuchte nochmal einzuschlafen, habe es aber einfach nicht geschafft.
Alles in meinem Kopf kreiste sich nur um den Test ,,Du MUSST jetzt den Test machen‘‘
– also gut, wenn es unbedingt sein muss 😉
…und siehe da der Schwangerschatfstest zeigte ein PLUS im Fenster.
Total überwältigt weckte ich meinen Mann um 4.40 Uhr, er wusste erst gar nicht was los war, er dachte ich sei nur kurz auf die Toilette gegangen. Und dann haben wir uns riesig gefreut. ENDLICH! Meine Mama wurde dann auch gleich um 6.00 Uhr morgens telefonisch geweckt….
…und ENDLICH, dachte ich mir, kann ich auch diese Gedanken und Sorgen aus meinem Kopf verbannen …. VON WEGEN!!!
,,Was wenn es ein Fehlergebnis ist?‘‘ (schließlich sind die Tests ja nur zu 99,999 % sicher) ,,War es wirklich ein deutliches Plus?‘‘ ,,Hätte das Plus nicht stärker sein sollen?‘‘ und so ging dieser ganze Gedankensalat gerade so weiter….. OH NO!
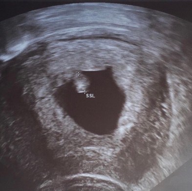
Nach zwei weiteren Schwangerschaftstests, die ich dann zwei und vier Tage später noch durchgeführt habe (ich hatte noch Vorrat, irgendwas muss man ja damit anstellen – natürlich NUR deshalb und ihr wisst ja, sicher ist sicher ;-)) habe ich ihm dann geglaubt, spätestens dann aber als wir unser erstes Foto beim Frauenarzt bekommen haben. Es war ein pochendes Etwas zu sehen – das pochende kleine Herzchen unseres ersten Babys.

WIR WERDEN ELTERN – und ab dann ging eigentlich der spannende Teil erst so richtig los!
Ich würde mich freuen, wenn ihr mir in den Kommentaren kurz erzählt wie das bei euch war! Habt ihr es lange versucht? Wie habt ihr euren Liebsten davon erzählt?
XX,
Bianca
Bei mir und meinem Freund war es so:
Ich habe bereits im Mai 2017 die Pille abgesetzt. Wir wollten aber auf jeden Fall bis zum Sommerurlaub im August warten (ich wollte nicht schwanger in den Urlaub fliegen, wollten einen richtig tollen pärchenurlauv erleben mit Abenteuern und ganz viel Wein )
Haben also „aufgepasst“ das nichts passiert. Im Urlaub haben wir uns dann aber gesagt jetzt versuchen wir es bewusst.
Es hat bei mir 2 Zyklen gedauert. Denn Anfang Oktober hast dann geklappt:)
Habe einen sehr unregelmässigen Zyklus gehabt und ehrlich gesagt den test schon sehr früh gemacht…. aus Sicherheit da ich eine Zahnbehandlung hatte… ich saß alleine auf dem Klo eines cafès. Sehr unromantisch aber es war die beste Nachricht des Tages. Meinem Freund hab ich erst am Abend als er von der Arbeit kam davon erzählt . Jetzt bin ich in der 30 ssw und wir freuen uns riesig auf unsern kleinen Jungen. LG Christine
LikeLike